Explore Our Treatments
Get To Know Our Team
Begin Your Smile Journey
About Us
Why Choose Us
Meet the Team
Blogs
Newsletters
Fees
Adult Price List
Children Price List
Memberships
Treatments
Dental Implants
All-on-4
Fixed Orthodontics
Cosmetic Dentistry
Teeth Whitening
Tooth Coloured Fillings
Cosmetic Dentures
Invisalign
Smile Makeover
General Dentistry
New Patient Exam
Direct Access Hygiene
Oral Health
Tooth Pain
Air Flow
Mouth Cancer Screening
Bad Breath (Halitosis)
Children's Teeth
Emergency Dentistry
Adult Restorative Dental
Sedation Dentistry
Gallery
New Patients
Referrals
+44 191 581 2236
Contact Us
Blog
Home
Blog
Dental Implant Bridges and Veneers
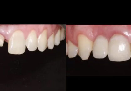
Dental Implant Bridge
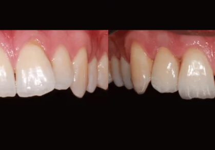
Dental Implant
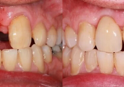
Dental Implant Bridge
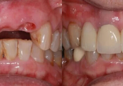
Dental Implant Bridge
Dental Implant
Soft Tissue Grafting & Dental Implants
Dental Implants, Porcelain Crown & Teeth Whitening
Dental Implant & Bridge
Same-Day Teeth & Bridges
Call Now
WhatsApp
Saturday Smile Sessions at Seaham Smiles
Direct Access Hygiene Appointments Available on Select Saturdays
Secure Your Space
×