Dental Implant Bridges & Crowns

Dental Implant Bridges & Crowns

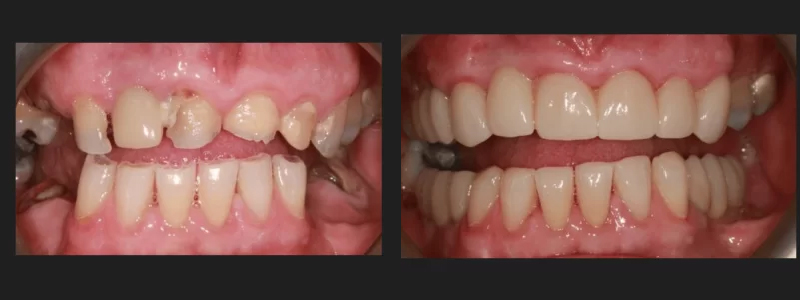
This is one of our bigger jobs we have recently completed and it just goes to show you are never too old for a smile makeover! This gentleman who is in his late 70’s decided that he needed his broken-down front teeth fixed to improve their appearance and some extra back teeth to help him chew.

Nigel worked with one of the existing implants that the patient already had and replaced the crown on this tooth and then placed zirconia crowns on his other upper front teeth. He added 6 new implants and zirconia bridges at the back of his mouth and completed some composite bonding for his lower teeth.

Ready to Smile? Make an Enquiry Today

Select a contact option below and start chatting to our friendly team.

Hear From Our Smiling Patients

Ive had a few appointments with Dan, and a hygiene appointment with Kiska. Jenna has been my dental nurse for each appointment. I was really nervous for my first appointment as I'd put off going to th... Read More

Jennifer Hall

I had a tooth implant done this year with Nigel. The implant operation itself was a breeze, didn't feel a thing. The final tooth fitting was the same, so easy. Very pleased with the results and would ... Read More

Tony

This review is for Stacey and Jane Well what can I say?..... I have had some really bad experiences in the past at different surgeries and I felt very very nervous about my treatment and appointment. ... Read More

kelly Nicholson

My bridge fractured which required me needing a dental implant. I felt really apprehensive about this. Nigel & Ellie were fantastic and explained everything in layman’s terms which gave me so much r... Read More

Sue Mc

Myself and husband had dental implants fitted by Nigel, which absolutely fantastic results. From making the decision to go for implants to the final fitting, Nigel and Ellie were there to guide us thr... Read More

Jason Livingston

Call Now WhatsApp