Dental Implant Bridge

Dental Implant Bridge

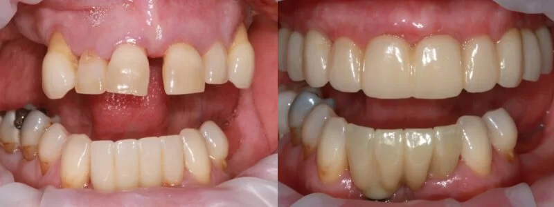
We’re thrilled to share an incredible success story from our practice – our patient just received an FP1 immediately loaded bridge and couldn’t be happier with the results!

What is an FP1 Immediately Loaded Bridge?
An FP1 bridge is a dental solution designed to replace missing teeth, offering a natural look and feel. With immediate loading, you don’t have to wait months for a new smile – it’s achieved in just one day!

The Process:

1. Consultation & Planning: We begin with a personalized consultation to understand your needs and create a tailored treatment plan.
2. Implant Placement: Dental implants are precisely placed into your jawbone to act as roots for your new teeth.
3. Immediate Loading: On the same day, we attach a temporary bridge to the implants. You leave our office with a fully functional and beautiful smile!
4. Healing Period: Over the next few months, your implants will integrate with your jawbone while you enjoy the comfort of your temporary bridge.
5. Final Bridge Placement: Once healing is complete, we replace the temporary bridge with a custom-made permanent bridge that looks and feels just like your natural teeth.

Benefits of an FP1 Immediately Loaded Bridge:

✨ *Instant Smile Transformation*: Walk out with a new smile on the same day!
✨ *Natural Appearance*: Designed to blend seamlessly with your natural teeth.
✨ *Comfort & Functionality*: Enjoy eating, speaking, and smiling with confidence right away.
✨ *Durability*: A long-lasting solution that provides excellent stability and support.

Don’t wait to achieve the smile of your dreams! Contact us today to schedule your consultation and discover how an FP1 immediately loaded bridge can change your life.

Ready to Smile? Make an Enquiry Today

Select a contact option below and start chatting to our friendly team.

Hear From Our Smiling Patients

Had my dental implant at Seaham smiles done by Nigel. Everything was clearly explained and the cost was competitive. It was a complex job as I had a crown and bridge there already but Nigel did a fant... Read More

Paul Morris

I'd like to express my heartfelt thanks to Rob and Ella for the exceptional care they gave my daughter, Scarlett, today. Having a back tooth removed can be a daunting experience for a child, but their... Read More

Albert Wood

Writing this on behalf of my hubby John Ellison.. "I was recommended by my dentist to have dental implants carried out by Nigel. From the very first visit Nigel listened and provided the best advice ... Read More

Susan Ellison

Ive had a few appointments with Dan, and a hygiene appointment with Kiska. Jenna has been my dental nurse for each appointment. I was really nervous for my first appointment as I'd put off going to th... Read More

Jennifer Hall

Kiska & her Assistant Nurse Jeane were welcoming in their introduction. Care, understanding & knowledge shown & shared throughout my appointment. Came out reassured & very pleased with my visit. Thank... Read More

Larry Phillips

Call Now WhatsApp
Saturday Smile Sessions at Seaham Smiles Direct Access Hygiene Appointments Available on Select Saturdays