Composite Bonding, Dental Crowns & Denture

Composite Bonding, Dental Crowns & Denture

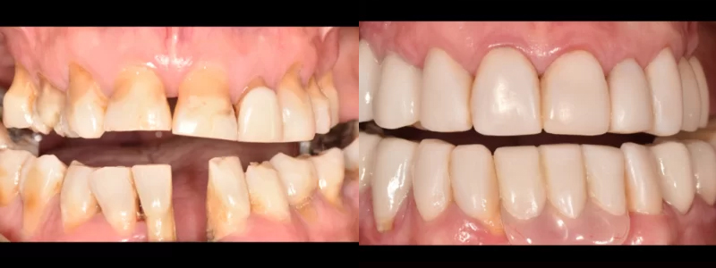
Our patient came to us with several concerns regarding the appearance of her upper front teeth. She was unhappy with their overall appearance, particularly the unevenness in length, discolouration, and shape. Her desired outcome was clear: she wanted more even teeth with a lighter colour, enhancing her smile’s aesthetics and boosting her confidence.

To achieve this, Jia recommended a comprehensive treatment plan that addressed each of her concerns. We opted for Emax crowns on all pre-molar teeth, a choice known for its exceptional durability and natural-looking appearance. Emax Crowns not only offer strength and resilience but also blend seamlessly with natural teeth, providing a beautiful, uniform smile.

For the front teeth, Jia performed composite bonding, a minimally invasive procedure that corrects imperfections such as unevenness and discolouration. This technique allowed us to sculpt the teeth to desired shapes and shade. These shapes can also be changed and adjusted as she adapts to her new bite.

Additionally, to replace a gap in her lower teeth, our patient opted for a lower partial denture. This custom-made prosthesis not only restores functionality but also completes the appearance of her smile.

The results speak for themselves but don’t just take our word for it. Hear from our delighted patient herself, who is absolutely elated with the final outcome. Their heartfelt testimonial is a testament to the life-changing impact of quality dental care and the expertise of our team.

Ready to Smile? Make an Enquiry Today

Select a contact option below and start chatting to our friendly team.

Hear From Our Smiling Patients

Had my dental implant at Seaham smiles done by Nigel. Everything was clearly explained and the cost was competitive. It was a complex job as I had a crown and bridge there already but Nigel did a fant... Read More

Paul Morris

I'd like to express my heartfelt thanks to Rob and Ella for the exceptional care they gave my daughter, Scarlett, today. Having a back tooth removed can be a daunting experience for a child, but their... Read More

Albert Wood

Writing this on behalf of my hubby John Ellison.. "I was recommended by my dentist to have dental implants carried out by Nigel. From the very first visit Nigel listened and provided the best advice ... Read More

Susan Ellison

Ive had a few appointments with Dan, and a hygiene appointment with Kiska. Jenna has been my dental nurse for each appointment. I was really nervous for my first appointment as I'd put off going to th... Read More

Jennifer Hall

Kiska & her Assistant Nurse Jeane were welcoming in their introduction. Care, understanding & knowledge shown & shared throughout my appointment. Came out reassured & very pleased with my visit. Thank... Read More

Larry Phillips

Call Now WhatsApp
Saturday Smile Sessions at Seaham Smiles Direct Access Hygiene Appointments Available on Select Saturdays