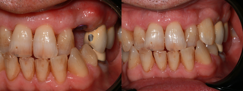
Canine Implant

Canine Implant

Ready to Smile? Make an Enquiry Today

Select a contact option below and start chatting to our friendly team.

Hear From Our Smiling Patients

Had my dental implant at Seaham smiles done by Nigel. Everything was clearly explained and the cost was competitive. It was a complex job as I had a crown and bridge there already but Nigel did a fant... Read More

Paul Morris

I'd like to express my heartfelt thanks to Rob and Ella for the exceptional care they gave my daughter, Scarlett, today. Having a back tooth removed can be a daunting experience for a child, but their... Read More

Albert Wood

Writing this on behalf of my hubby John Ellison.. "I was recommended by my dentist to have dental implants carried out by Nigel. From the very first visit Nigel listened and provided the best advice ... Read More

Susan Ellison

Ive had a few appointments with Dan, and a hygiene appointment with Kiska. Jenna has been my dental nurse for each appointment. I was really nervous for my first appointment as I'd put off going to th... Read More

Jennifer Hall

Kiska & her Assistant Nurse Jeane were welcoming in their introduction. Care, understanding & knowledge shown & shared throughout my appointment. Came out reassured & very pleased with my visit. Thank... Read More

Larry Phillips

Call Now WhatsApp
Saturday Smile Sessions at Seaham Smiles Direct Access Hygiene Appointments Available on Select Saturdays