Bone Grafting, Soft Tissue Grafting, Implant & Crown

Bone Grafting, Soft Tissue Grafting, Implant & Crown

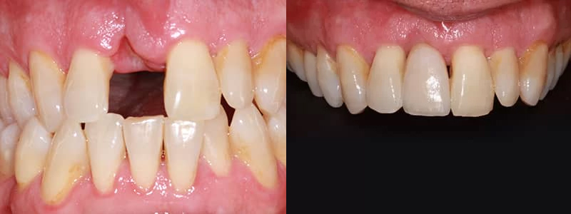
This man broke a post crown on his front tooth. We replaced some missing bone and gum by grafting the tissues from one part of his mouth to another. We then fitted and crown to the implant.

Treatment: Bone Grafting, Soft Tissue Grafting, Implant & Crown.

Ready to Smile? Make an Enquiry Today

Select a contact option below and start chatting to our friendly team.

Hear From Our Smiling Patients

Had my dental implant at Seaham smiles done by Nigel. Everything was clearly explained and the cost was competitive. It was a complex job as I had a crown and bridge there already but Nigel did a fant... Read More

Paul Morris

I'd like to express my heartfelt thanks to Rob and Ella for the exceptional care they gave my daughter, Scarlett, today. Having a back tooth removed can be a daunting experience for a child, but their... Read More

Albert Wood

Just finished my Invisalign treatment managed by Rob and Jane. It was made very simple and I am delighted by the results, they were very helpful and accommodating throughout. Would thoroughly recommen... Read More

Josh Casson

Ive had a few appointments with Dan, and a hygiene appointment with Kiska. Jenna has been my dental nurse for each appointment. I was really nervous for my first appointment as I'd put off going to th... Read More

Jennifer Hall

This review is for Stacey and Jane Well what can I say?..... I have had some really bad experiences in the past at different surgeries and I felt very very nervous about my treatment and appointment. ... Read More

kelly Nicholson

Call Now WhatsApp